Paciente Odontologia Marlon Becerra
Implantes Dentales en Bogotá
``Recupera tu sonrisa con implantes de titanio de alta calidad``
Dr. Marlon Becerra Díaz
RESERVA TU CITA
¡Comienza tu tratamiento!
Implantes Dentales en Bogotá, Chía y Armenia: Precio, Procedimiento y Financiación
Recuperar la confianza al sonreír y el placer de comer sin miedo es posible. En Odontología Marlon Becerra, entendemos que perder un diente es mucho más que un problema estético; es una fractura en tu calidad de vida, tu autoestima y tu salud general.
Si has llegado hasta aquí buscando implantes dentales en Bogotá, probablemente te enfrentas a dudas sobre el precio de implantes dentales, el dolor del procedimiento o la duración del tratamiento. Estás en el lugar correcto. Con más de 40 años liderando la odontología estética en Colombia, hemos perfeccionado el arte de la rehabilitación oral con implantes de última generación, combinando tecnología robótica con la calidez humana que necesitas.
A continuación, encontrarás la guía más completa de internet sobre rehabilitación oral, diseñada para ayudarte a tomar la mejor decisión para tu salud.
¿Sabías que puedes recuperar todos tus dientes? El Dr. Marlon Becerra te lo explica.
¿Qué son los Implantes Dentales? La Solución Definitiva
Para entender por qué este es el tratamiento «Gold Standard» (Estándar de Oro) en la odontología moderna, primero debemos definirlo con precisión.
Los implantes dentales son dispositivos médicos diseñados para reemplazar la estructura completa de un diente perdido, no solo la parte visible (corona), sino lo más importante: la raíz. Técnicamente, son pequeños tornillos fabricados en titanio de grado médico (altamente biocompatible) que se insertan quirúrgicamente en el hueso maxilar o mandibular.
¿Cómo funcionan?
A diferencia de las prótesis removibles antiguas (cajas de dientes) que se apoyan en las encías y causan molestias, el implante se fusiona biológicamente con tu hueso en un proceso llamado osteointegración. Una vez integrado, funciona como una base sólida e inamovible para colocar una corona de porcelana o zirconio, que es la parte que se ve y con la que masticas.
En Marlon Becerra, no solo ponemos tornillos; diseñamos arquitectura bucal. Al colocar implantes dentales, detenemos la reabsorción ósea (pérdida de hueso) que ocurre naturalmente cuando se pierde un diente, evitando que tu rostro envejezca prematuramente.




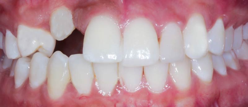
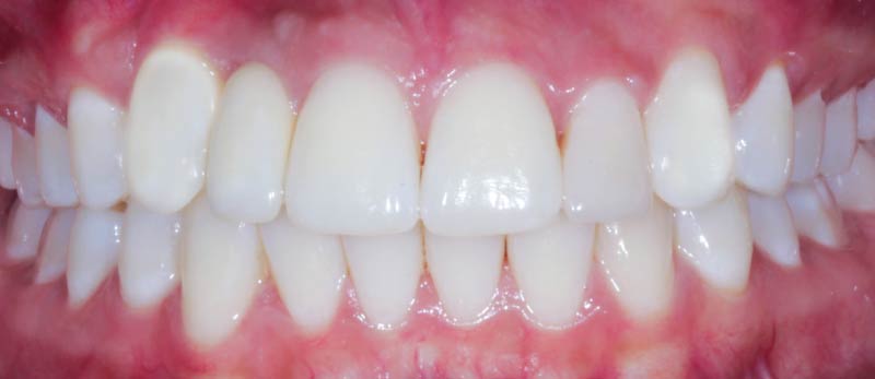
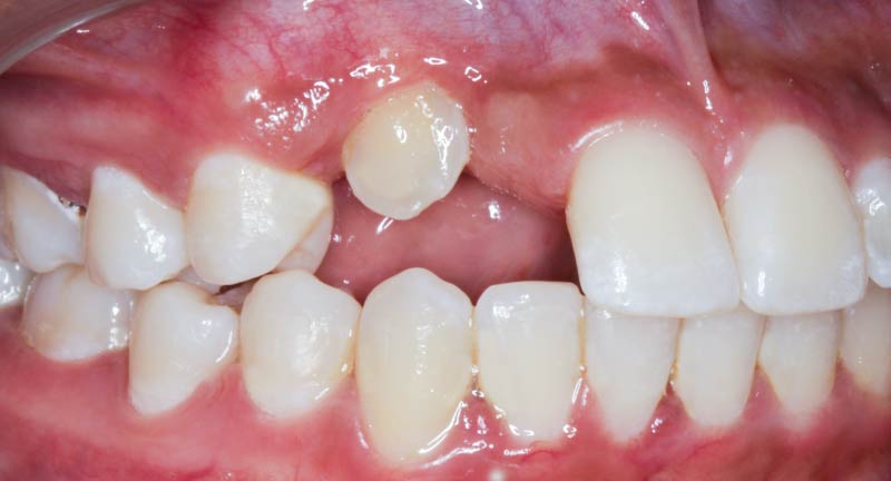
Caso de Éxito: Implante Dental



Beneficios de los Implantes Dentales frente a otras opciones
Nuestros pacientes, como Yamile Arias (caso de éxito de Marlon Becerra), reportan un cambio radical en su vida. Mientras que una prótesis removible ofrece una capacidad de masticación del 20-30%, los implantes dentales recuperan hasta el 95% de tu fuerza natural.
Aquí detallamos las 7 razones técnicas y estéticas para optar por este tratamiento:
- Estética Natural Indetectable: Diseñamos coronas que imitan a la perfección el color, translucidez y forma de tus dientes naturales. Nadie notará que llevas un implante.
- Integridad de Dientes Vecinos: A diferencia de los puentes dentales tradicionales, para colocar un implante no necesitamos tallar ni desgastar los dientes sanos adyacentes.
- Habla y Fonética Perfecta: Olvida el miedo a que la prótesis se mueva o haga ruido al hablar. Los implantes son fijos.
- Durabilidad a Largo Plazo: Aunque ningún tratamiento médico puede garantizarse «de por vida», su diseño en titanio permite una integración ósea sumamente estable que puede durar años en la boca. Esto depende de la higiene oral, citas de mantenimiento y hábitos saludables entre otros.
- Masticación Sin Restricciones: Podrás volver a comer manzanas, carnes y alimentos duros que habías eliminado de tu dieta.
- Preservación del Hueso: Es el único tratamiento que estimula el hueso maxilar, evitando el «efecto de cara hundida» común en personas con ausencia dental prolongada.
- Aumento de Autoestima: La seguridad de saber que tu sonrisa es estable elimina la ansiedad social.
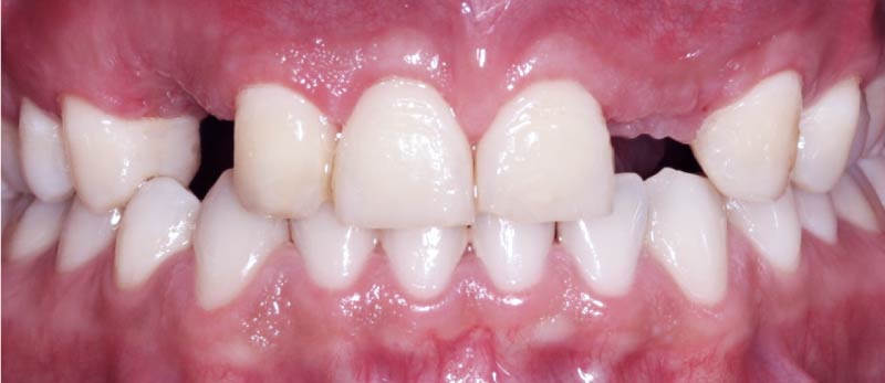
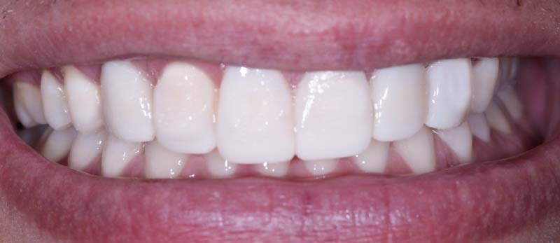
Implantología Dental - paciente Marlon Becerra

Caso real de implantes dentales
Conoce la historia de Yamile Arias
Paciente de Odontología Marlon Becerra
¿Cuánto Cuestan los Implantes Dentales en Bogotá?
Esta es la pregunta más frecuente y transparente que debemos abordar. Al buscar precio de implantes dentales en internet, encontrarás un rango muy amplio, y esto se debe a que no existe un «precio único» universal, ya que cada boca es un ecosistema único.
Sin embargo, para darte claridad, el costo de implantes dentales en una clínica de alta categoría en Bogotá varía según la complejidad.
Factores que Afectan el Precio y la Calidad de Implantes Dentales
No todos los implantes son iguales. El valor de tu inversión en Marlon Becerra incluye factores que clínicas «low cost» suelen omitir:
- La Marca del Implante: Utilizamos casas comerciales líderes mundiales (como Straumann, número uno a nivel mundial) que tienen respaldo científico de décadas.
- Tecnología de Diagnóstico: No dejamos nada al azar. El éxito de tu tratamiento radica en una planificación milimétrica; por ello, nos aseguramos de que cada paciente cuente con una evaluación mediante tomografía 3D (CBCT) y escáner intraoral.
- Material de la Corona: No es lo mismo una corona metal-cerámica que una de Zirconio Monolítico o Disilicato de Litio, materiales que usamos por su alta estética y resistencia.
- Experiencia del Especialista: No te opera un odontólogo general. Te opera un Cirujano Maxilofacial o un Periodoncista con especialización en Implantología.
- Injertos Óseos: Si has perdido mucho hueso, podrías necesitar regeneración ósea previa, lo cual es un procedimiento adicional.
Tipos de Implantes Dentales que Ofrecemos
Adaptamos la solución a tu necesidad específica. No es lo mismo perder un diente frontal que necesitar una rehabilitación completa.

Implante Unitario + Corona
Ideal cuando has perdido un solo diente (por trauma o caries). Colocamos un solo implante y una corona. Es la solución más limpia y elegante, evitando tocar los dientes vecinos.

Puentes sobre Implantes
Si has perdido 3 dientes seguidos, no necesitamos poner 3 implantes. Podemos colocar 2 implantes en los extremos y crear un puente fijo de 3 coronas. Esto optimiza el presupuesto y reduce la invasión quirúrgica.

All-on-4 y All-on-6 (Rehabilitación de Boca Completa)
Para pacientes edéntulos (sin dientes) o que usan prótesis totales incómodas.
- Técnica All-on-4: Colocamos 4 implantes estratégicos que soportan una arcada completa de dientes fijos.
- Beneficio: En muchos casos, podemos aplicar la técnica de «Carga Inmediata», donde el paciente entra sin dientes y sale el mismo día con una prótesis fija provisional. ¡Dientes en un día!
Nota Importante: La viabilidad de estos tratamientos depende estrictamente de tu diagnóstico clínico personalizado. Nuestros especialistas evaluarán la densidad de tu hueso y tu salud periodontal para determinar si eres candidato para esta técnica o si requieres una solución diferente para garantizar la estabilidad a largo plazo.
El Paso a Paso: Tu Transformación en Marlon Becerra
Hemos perfeccionado el protocolo de rehabilitación con implantes dentales en cuatro etapas estratégicas. Este proceso está diseñado bajo estándares internacionales para garantizar tu seguridad, confort y resultados de larga duración.
1. Evaluación Inicial y Diagnóstico Digital
Todo caso de éxito comienza con una valoración clínica exhaustiva. Utilizamos tecnología de vanguardia, como el escáner intraoral 3D y la tomografía computarizada (CBCT), para obtener una réplica digital exacta de tu anatomía bucal.
Este estudio nos permite analizar milimétricamente la densidad, calidad y volumen del tejido óseo. Mediante un software de planificación avanzada, realizamos una simulación virtual de la cirugía; en casos seleccionados, podemos optar por una cirugía guiada, que maximiza la precisión, seguridad y estética final impecable.
2. Fase Quirúrgica: Colocación del Implante
En esta etapa, el especialista procede a la inserción del implante en la posición exacta planificada digitalmente. El procedimiento se realiza bajo anestesia local de última generación (o sedación consciente si prefieres una relajación total).
- Eficiencia: La colocación de un implante unitario suele completarse en un tiempo estimado de 30 a 45 minutos.
- Mínima Invasión: Aplicamos técnicas quirúrgicas refinadas para minimizar el trauma en los tejidos, lo que se traduce en un postoperatorio notablemente cómodo y una recuperación acelerada.
3. Osteointegración (Período de Estabilidad)
Aquí ocurre la magia de la biología: el hueso se integra de forma natural al implante de titanio, creando una base sólida y estable.
- Tiempos: Este proceso suele durar entre 4 y 6 meses, dependiendo de las condiciones biológicas de cada paciente.
- Compromiso Estético: En Marlon Becerra, priorizamos tu bienestar social. Durante esta etapa de espera, nunca te dejaremos sin diente. Colocamos una prótesis provisional estética para que mantengas tu confianza y funcionalidad en todo momento.
4. Fase Protésica: Restauración Definitiva – Corona Final
Una vez confirmada la integración total del implante, procedemos a la fase final. Tomamos nuevos registros digitales para diseñar y fabricar tu corona definitiva (diente definitivo) en nuestros laboratorios de alta tecnología.
La corona dental está diseñada con materiales de alta gama y se atornilla o cementa de forma segura para devolverte algo más que un diente: te devuelve la confianza al sonreír y la tranquilidad al comer. Su apariencia es completamente natural y su resistencia te permite masticar con seguridad, hablar sin preocupaciones y volver a disfrutar cada momento con tu sonrisa.
¿Duele Colocarse un Implante Dental? Derribando Mitos
Esta es la barrera número uno: el miedo al dolor. Vamos a ser totalmente honestos. Muchos pacientes posponen su salud oral por temor al dolor. En Odontología Marlon Becerra, hemos transformado esa experiencia.
Durante el procedimiento: Tu comodidad es nuestra prioridad. Gracias al uso de técnicas de anestesia local de última generación, no sentirás ningún tipo de dolor ni molestia. Para aquellos pacientes que han tenido malas experiencias anteriores o sienten nerviosismo, ofrecemos el servicio de Sedación Consciente. Bajo este protocolo, entrarás en un estado de relajación profunda guiado por un médico anestesiólogo, permitiéndote realizar el tratamiento sin estrés y sin recuerdos traumáticos. Nuestro equipo de anestesiología te acompañará y monitoreará durante todo el procedimiento para garantizar tu seguridad y bienestar total.

Después del procedimiento (Postoperatorio): La mayoría de nuestros pacientes reportan que la molestia es menor que la de una extracción de muela del juicio.
- Sentirás una inflamación leve.
- Puede haber una ligera molestia controlable al 100% con los analgésicos y antiinflamatorios que te recetaremos.
- Muchos pacientes vuelven a trabajar al día siguiente o a los dos días.
La voz del experto: ¿Por qué la cirugía de implantes es indolora? No solo lo decimos nosotros, nuestros especialistas lo confirman. En el siguiente video, una de nuestras profesionales en periodoncia nos explica detalladamente por qué la tecnología actual y los protocolos de Marlon Becerra garantizan una experiencia cómoda y libre de dolor.
No dejes pasar más tiempo
Si quieres conocer el precio de implantes dentales exacto para tu caso y explorar nuestras opciones, agenda hoy tu valoración.
Tiempo de Recuperación y Cuidados
Tu recuperación es un trabajo en equipo entre tú y nosotros.
Primeras 24-48 horas:
- Aplicar hielo local para bajar la inflamación.
- Dieta blanda y fría (helados, gelatinas, cremas).
- No escupir ni usar pitillos (popotes).
- Reposo relativo (puedes caminar, trabajar en el computador, pero no correr).
Primera semana:
- Regreso a actividades normales.
- Higiene oral suave en la zona tratada.
- Evitar ejercicio intenso o levantar pesas.
Recuperación completa (Osteointegración):
- 7-10 días para cicatrización de la encía (retiro de puntos si los hay).
- 3-6 meses para que el implante se fusione con el hueso.
Tecnología que Utilizamos: ¿Por qué Marlon Becerra es diferente?

La calidad de un implante dental no depende solo del tornillo, sino de la tecnología usada para ponerlo. En nuestras sedes de Bogotá, Chía y Armenia contamos con:
Tomografía Computarizada de Haz Cónico (CBCT)
A diferencia de una radiografía plana, esto nos da una visión 3D completa de tu hueso, nervios y senos paranasales. Nos permite evitar accidentes quirúrgicos y garantizar la posición perfecta del implante.
Guías Quirúrgicas Computarizadas
En casos complejos, imprimimos una guía 3D que se coloca en tu boca y nos indica exactamente dónde poner el implante, sin necesidad de abrir toda la encía. Esto reduce el dolor y acelera la recuperación.
¿Por Qué Elegir Odontología Marlon Becerra?
Cuando buscas implantes dentales en Bogotá, encuentras muchas opciones. Pero tu salud no es algo para subastar.
- +40 años de experiencia: Somos pioneros en estética dental en Colombia.
- Dr. Marlon Becerra: Reconocido internacionalmente como referente en estética dental.
- +10,000 implantes colocados exitosamente: Nuestra casuística nos permite manejar desde casos sencillos hasta las rehabilitaciones más complejas que otros rechazan.
- Equipo Multidisciplinario: Tu caso es analizado por prostodoncistas, periodoncistas y cirujanos orales en conjunto.
- Garantía Extendida: Ofrecemos garantía sobre nuestros tratamientos porque confiamos en nuestros materiales.
- Bioseguridad: Protocolos de esterilización hospitalaria para tu seguridad.
Preguntas Frecuentes (FAQ) sobre Implantes Dentales
Aquí respondemos las dudas más comunes de nuestros pacientes en consultorio:
La cirugía para un solo implante suele durar entre 30 y 45 minutos. Si son múltiples implantes o All-on-4, puede tomar una mañana completa, siempre bajo la comodidad de la sedación.
Con la higiene adecuada y visitas periódicas de control (cada 6 meses), los implantes dentales están diseñados para durar muchas décadas. Son una solución a largo plazo.
Es un problema común si llevas años sin dientes. En Marlon Becerra realizamos procedimientos de Regeneración Ósea o Elevación de Seno Maxilar para crear hueso nuevo donde colocar el implante. ¡Sí hay solución!
¡Absolutamente! Una vez finalizada la integración y colocada la corona definitiva, podrás morder con la misma fuerza que con tus dientes naturales.
Sí. Trabajamos con marcas que ofrecen garantía internacional en sus componentes de titanio. Además, nuestra clínica garantiza la mano de obra y la restauración protésica bajo condiciones de cuidado adecuadas.
No aceptamos convenios directos con seguros médicos ni medicinas prepagadas para tratamientos de implantología. Al ser procedimientos de alta especialidad y estética avanzada, estos deben ser cancelados de forma particular. Con gusto, podemos emitir las facturas legales requeridas en caso de que desees tramitar un reembolso por tu cuenta ante tu aseguradora.
El implante es el tornillo que va dentro del hueso (la raíz artificial). La corona es el diente blanco que se ve afuera. El tratamiento completo requiere ambos.
No hay límite de edad máxima. Hemos operado pacientes desde 21 años hasta 85 años con éxito, mejorando su nutrición y calidad de vida. La única limitante es la salud general, no la edad. La edad mínima es alrededor de los 18-21 años, cuando termina el crecimiento facial.
Conoce nuestros
SERVICIOS
DÉJANOS TUS DATOS PARA CONTACTARTE
Agenda una cita en tu sede más cercana.














